Активные темы         Ваши сообщения

Бездомная кошечка Рыжка нуждается в оплате лечения и корма!

Закрытые и неактуальные темы. Доступно только чтение. По вопросу возобновления темы, обращайтесь к супермодератору.

Модераторы: Irusa, Модераторы

Аватара пользователя
Воробышек
Модератор
Сообщения: 3447
Зарегистрирован: 16 дек 2010, 22:44

Re: Бездомная кошечка Рыжка нуждается в оплате лечения и кор

Сообщение Воробышек » 08 авг 2015, 10:09

AS83 писал(а):Карту в ЛС можно?

Настя, спасибо большое!
Пришли. Фин.отчет: viewtopic.php?f=76&t=16736
Руководитель и основатель благот.фотопроекта https://vk.com/fotoproektzoohelp33 . Мои контакты: https://vk.com/id23873178 , мобильный 89045987963 .

Аватара пользователя
Воробышек
Модератор
Сообщения: 3447
Зарегистрирован: 16 дек 2010, 22:44

Re: Бездомная кошечка Рыжка нуждается в оплате лечения и кор

Сообщение Воробышек » 08 авг 2015, 10:10

Ирина Эргле писал(а):Михаил Сажин сделал перевод 06.08.15 г. в 22.45. Проверьте, пожалуйста.

Ирина, да, пришли! Спасибо Михаилу!
Фин. отчет: viewtopic.php?f=76&t=16736
Руководитель и основатель благот.фотопроекта https://vk.com/fotoproektzoohelp33 . Мои контакты: https://vk.com/id23873178 , мобильный 89045987963 .

Аватара пользователя
Воробышек
Модератор
Сообщения: 3447
Зарегистрирован: 16 дек 2010, 22:44

Re: Бездомная кошечка Рыжка нуждается в оплате лечения и кор

Сообщение Воробышек » 08 авг 2015, 10:21

Друзья, благотворители ! Простите за задержки в финансовом отчете, не было доступа к интернету.
Руководитель и основатель благот.фотопроекта https://vk.com/fotoproektzoohelp33 . Мои контакты: https://vk.com/id23873178 , мобильный 89045987963 .

Аватара пользователя
Воробышек
Модератор
Сообщения: 3447
Зарегистрирован: 16 дек 2010, 22:44

Re: Бездомная кошечка Рыжка нуждается в оплате лечения и кор

Сообщение Воробышек » 08 авг 2015, 11:59

Отчеты по Рыжке:

1.08.15 :

У нас с Рыжкой проблемы!!!! Вчера состояние было у нее неплохое, правда вечером она не играла, а лежала, но и остальные коты тоже были пассивные - я списала все на изменения погоды.
А сегодня часов в 5 проснулась от звука кошачьей рвоты. У Рыжки опять открылась какая-то неудержимая врота (потом посчитала - раз 10). Первая порция была едой, потом слюной. При этом она периодически орала - видно больно было (просто кошмар какой-то! ), вспомнила про рекомендацию врачей на форуме при обезболивании и при неудержимых вротах делать укол папаверина - сделала 0, 5 мл подкожно. Рвота вроде прекратилась, она забилась под диван и там лежала. Утром (часов в 8) я ее из под дивана вытащила, сделала ей капельницу 100 мл под холку Рингера - Локка. Сейчас она на диване лежит - спит. Пока не лекарства, ни пищу не даю, в животе у нее урчит, может из-за того, что пустой?
Самое главное, после позавчерашнего рентгена с контрастом она не ходила по-большому. Где -то у нее этот сульфат бария сидит, меня это очень настораживает, когда делали рентген, врач сказала, что до толстого кишечника контраст еще не дошел, может у нас в нем проблемы?

1.08.15 (после рентгена )

4 часа просидели в очереди!!! Были на приеме у 8-го по счету врача, сделали еще раз рентген. Врач сказал:
1. В толстом кишечнике вроде тоже все нормально.
2. Что не было стула - там все на подходе, контрастное вещество может вызвать запор, это обычное, в случае правильной работы кишечника, явление.
3. Очень долго рассматривал все наши 3 снимка и однозначно сказал, что на всех снимках в каловых массах очень много шерсти (Рыжка на самом деле очень чистоплотная кошка, постоянно вылизывается). Эта невыходящая шерсть может прилипать к стенкам желудка и кишечника и образовывать воспаления и язвочки.
4. Еще ему не понравилось состояние десен (они на самом деле воспаленные (красные)), поставил нам возраст 7-8 лет, что в 2-3 раза превышает предыдущий поставленный возраст (это минимум), и оказывается у нас нет нескольких зубов (на самом деле нет передних резцов и одного клыка! ). Клык я и раньше не видела, а про резцы - первый раз! (Куда смотрели предыдущие 7 врачей?! )
Назначил:
1.Квамател (мини) по 1/4 т. 2 раза в день
2.Пасту для выведения шерсти (на это особо обратил внимание)
3.Вазелиновое масло для очищения кишечника
4.Сдать анализ на липазу пакнкреатическую.
Это на первое время. Если все будет хорошо, в дальнейшем надо лечить десна, их состояние может отразиться на правильной работе почек и привезти к их заболеванию.
В первые дня два могут быть срыгивания комочков шерсти, которые должны отходить из желудка и кишечника, потом должно все нормализоваться.
Вот такие результаты.
Сейчас Рыжуня неактивная, все лежит, но 4 часа в очереди с собаками и посторонними кошками не каждый выдержит!!!! Хотя, может, просто чувствует себя нехорошо....

3.08.15:

По Рыжке .
Сейчас эта милая мордашка сидит рядышком и наблюдает за мной. Сегодня сдали в ВЕТТЕСТ кровь на липазу панкреатическую, пришлось задействовать при этом обе лапки, с одной не хватило крови. Результат обещали через два-три дня. Посмотрим.... Со вчерашнего дня даю мальт-пасту и вазелиновое масло. Мальт-пасту ест с удовольствием (я никак не ожидала, думала придется впихивать!!!!), с ваз. масла наконец-то у нас вышел сульфат бария (контраст). Так что будем надеяться на лучшее. Вчера описала наше посещение вет. клиники Московскому вет. врачу на вет. форуме со всеми рекомендациями и назначениями. Впервые врач согласилась со всеми назначениями, посоветовала держаться этого врача. Так что может теперь наши мытарства закончатся?!!!!! Рыжуня сегодня кушает что-то неохотно, надеюсь, это стресс после клиники.... Пожалуй, все.

Благодарим всех неравнодушных людей, которые откликнулись на наш крик о помощи! Рыжка и я очень рады, что у нас в городе есть столько добрых и отзывчивых людей, готовых помочь в нашей непростой ситуации!!!! СПАСИБО!!!!!!!!!!

6.08.15:

Добрый день!
Наконец-то получила Рыжкины результаты анализа на липазу.
Результат - меньше 3,5 - нормальное функционирование поджелудочной железы!!!! Панкреатита - нет!!!!!
УРААААААА!!!!!!!!
Пока продолжаем следовать всем рекомендациям ПА Мумжа. Потом, через 2-4 недели (если все будет хорошо) можно подумать про лечение десен, как рекомендовал ПА.

7.08.15:

Доброе утро!
У нас с Рыжкой пока никаких изменений (ТТТ не сглазить!). Рыжуля переиграла уже со всеми игрушками (которые давно забыты другими пушистиками), такой игрули у меня со времен детства не было (тогда у меня был очень активный кот Степан, прожил 17 лет). Все-таки у меня возникает сомнение по поводу возраста кошки, хотя ПА сказал, что старость это не приговор, и кошки могут быть очень активные, хотя 8*6=48 лет, какая же это старость?
Руководитель и основатель благот.фотопроекта https://vk.com/fotoproektzoohelp33 . Мои контакты: https://vk.com/id23873178 , мобильный 89045987963 .

Аватара пользователя
Воробышек
Модератор
Сообщения: 3447
Зарегистрирован: 16 дек 2010, 22:44

Re: Бездомная кошечка Рыжка нуждается в оплате лечения и кор

Сообщение Воробышек » 09 авг 2015, 12:20

Рыжка:
Вложения
Wz2imo0bb94.jpg
Руководитель и основатель благот.фотопроекта https://vk.com/fotoproektzoohelp33 . Мои контакты: https://vk.com/id23873178 , мобильный 89045987963 .

Аватара пользователя
Воробышек
Модератор
Сообщения: 3447
Зарегистрирован: 16 дек 2010, 22:44

Re: Бездомная кошечка Рыжка нуждается в оплате лечения и кор

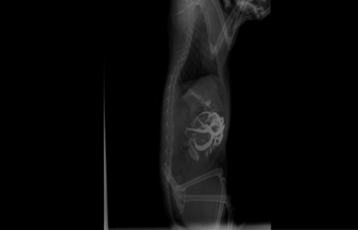
Сообщение Воробышек » 09 авг 2015, 12:24

Рентген:
Вложения
1.jpg
2.png
рыжка 1.png
рыжка 2.png
Руководитель и основатель благот.фотопроекта https://vk.com/fotoproektzoohelp33 . Мои контакты: https://vk.com/id23873178 , мобильный 89045987963 .

Аватара пользователя
Воробышек
Модератор
Сообщения: 3447
Зарегистрирован: 16 дек 2010, 22:44

Re: Бездомная кошечка Рыжка нуждается в оплате лечения и корма!

Сообщение Воробышек » 14 авг 2015, 10:31

:cat_help:
Руководитель и основатель благот.фотопроекта https://vk.com/fotoproektzoohelp33 . Мои контакты: https://vk.com/id23873178 , мобильный 89045987963 .

Аватара пользователя
Воробышек
Модератор
Сообщения: 3447
Зарегистрирован: 16 дек 2010, 22:44

Re: Бездомная кошечка Рыжка нуждается в оплате лечения и корма!

Сообщение Воробышек » 14 авг 2015, 11:07

12.08.15

По Рыжке новости не очень хорошие. Сегодня утром у нее была голодная рвота. (Со времени последней рвоты - едой - прошел 1 день). Рвота была небольшая, 2 раза, после того, как дала таблетку Кваматела на голодный желудок, потом, правда она немного поела. В обед опять немного дала еды, ушла на работу - не знаю, что ждет вечером.

На фото Рыжке делают капельницу:
Вложения
ww5uekNqPSY.jpg
6jHsVjbr5XU.jpg
Руководитель и основатель благот.фотопроекта https://vk.com/fotoproektzoohelp33 . Мои контакты: https://vk.com/id23873178 , мобильный 89045987963 .

Аватара пользователя
Воробышек
Модератор
Сообщения: 3447
Зарегистрирован: 16 дек 2010, 22:44

Re: Бездомная кошечка Рыжка нуждается в оплате лечения и корма!

Сообщение Воробышек » 14 авг 2015, 11:10

13.08.15

Рыжка что-то плохо кушает, вчера вообще отказалась есть - сегодня открыла банку старого корма (который вначале давала - Пурина EN) - немного поела, но опять без энтузиазма, пришлось с руки кормить. Просто не знаю, что с ней делать! Очень расстроилась.... :cat_help:
Руководитель и основатель благот.фотопроекта https://vk.com/fotoproektzoohelp33 . Мои контакты: https://vk.com/id23873178 , мобильный 89045987963 .

Аватара пользователя
Воробышек
Модератор
Сообщения: 3447
Зарегистрирован: 16 дек 2010, 22:44

Re: Бездомная кошечка Рыжка нуждается в оплате лечения и корма!

Сообщение Воробышек » 14 авг 2015, 11:14

Друзья!!!!
Подскажите: проводят ли у нас во Владимире исследование - эндоскопия желудка ? :cat_help:

Р.С. В Артемиде не делают.
Руководитель и основатель благот.фотопроекта https://vk.com/fotoproektzoohelp33 . Мои контакты: https://vk.com/id23873178 , мобильный 89045987963 .


Вернуться в «Архив»

Кто сейчас на конференции

Сейчас этот форум просматривают: нет зарегистрированных пользователей и 16 гостей